- Han gir dem en følelse av at de kjenner ham - og at han bryr seg om dem
Slik kontrollerer Justin Bieber daglig 37 millioner fans. Les mer
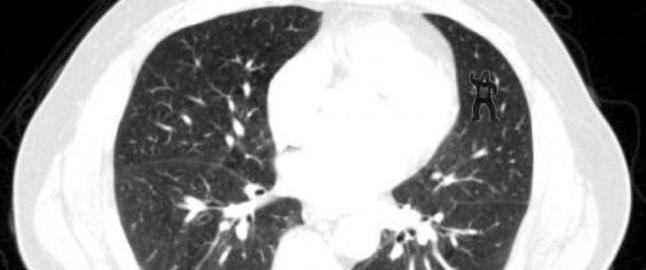
Kan du finne gorillaen som danser i disse lungene?
I så fall er du skarpere enn hele 83 prosent av radiologene som gransket CT-bildet. Les mer
- Vi tenkte bare på hvor tøft alt var. Når det avtar er det et enormt tomrom
Forskning viser at «Idol»-deltakere møter veggen etter å ha bli stemt ut. Les mer
- Det er en heksejakt mot Sørheim og Husby
Psykologer mener kolleger tier, selv om de burde gitt de sakkyndige sin støtte. Les mer
Blir kvalm av premiereprat
Selv 32 år etter scenedebuten tar premierenervene nesten knekken på Kjersti Holmen (56). Les mer
Kampen om menneskesinnet
Filmen «A Dangerous Method» tar for seg striden mellom Sigmund Freud og Carl Gustav Jung, den moderne psykologiens grunnleggere. Men hva ville de? Og hvem vant? Les mer
Sliter med skyldfølelsen
Sliter med skyldfølelsen Flere av de som overlevde massedrapet på Utøya, sliter med en tung skyldfølelse. Les mer
Dobbel krenkelse
Når voldtektsutsatte har problemer med å huske, er dette et resultat av traumet, og svært sjelden fordi de snakker usant. Les kronikken. Les mer
En latter forlenger IKKE livet
Kjedsomhet, hardt arbeid og utsettelse av pensjonisttilværelsen er dessverre nøkkelen til et langt liv. Les mer
Hva syns hunden Bror om Jenny Skavlan?
Vi har intervjuet tre hunder om livet med deres kjente eiere. Les mer
Her er menneskene uten fremmedfrykt
Eneste befolkningsgruppe som ser ut til å mangle rasistiske forestillinger. Les mer
Omsorg for den fremmede
MORAL: Hvorfor gir vi blod til ukjente og risikerer livet for å kjempe mot urettferdighet andre er utsatt for? Les mer
Alle skal få
Et av tidenes eldste spørsmål er endelig besvart. Tankeleser Henrik Fexeus (38) mener å ha knekt koden til hvordan du får deg et ligg. Les mer
Hva vet han om sexlivet for 2 millioner år siden?
Evolusjonspsykolog Leif Edward Kennair om gener, sjalusi, voldtekt og amming. Les mer
Advarer mot psykologiske tester på Facebook
Psykologforeningen mener sårbare kan få tilbakemeldinger som er svært vanskelige å håndtere. Les mer
Lise (18) tenner på å torturere slaver
Men hjemme har hun «vanlig» kjæreste. Møt de unge fetisjistene. Les mer
Psykolog dømt for vold mot kjæresten
Fikk ett års fengsel for å ha vært så voldelig mot kjæresten at hun brakk lårbeinet. Les mer
Pasientene husket sex-sadisme, dyredrap og gruppevoldtekt
Psykologer fikk inntrykk av at terapimiljø i Malvik ligner en sekt. Les mer
Hva er det første du tenker du på når du ser dette?
Fasiten på personlighetstest lekket på nett. Les mer
90 prosent av prestene gikk rett forbi skadd mann
Etter å ha skrevet en tale om den barmhjertige samaritan. Les mer
Er det alltid du som foreslår å møtes?
Betyr ikke at vennen din ikke liker deg lenger, ifølge ekspert. Les mer
Mest lest:
- Avslørte suksesseriens store hemmelighet«How I Met Your Mother»-fansen måtte vente i åtte år.
- Mor fant levninger etter død sønn i NordlandFunnet under minnestund.
- - Hun var en fantastisk mor, datter og søster. Hun vil bli dypt savnet av alle venner og kollegerSivje Schjærven, som ble funnet drept søndag, var medeier og leder i et av Norges største reklamebyråer.
- Jeff (18) skjelte ut læreren og ble rikskjendis i USA- Jeg mener at noen måtte få sagt dette.










Mest kommentert
Dagbladet.no siste 48 timer